Eliminación y Prevención de Caries Infantiles

En Clínica Dental MM Sonrisas, especializados en odontopediatría y ortodoncia infantil en Madrid, sabemos que la caries dental es la enfermedad más frecuente en la infancia. Nuestro compromiso es cuidar la sonrisa de los más pequeños a través de tratamientos eficaces de eliminación de caries y programas de prevención personalizados, adaptados a cada etapa del crecimiento.

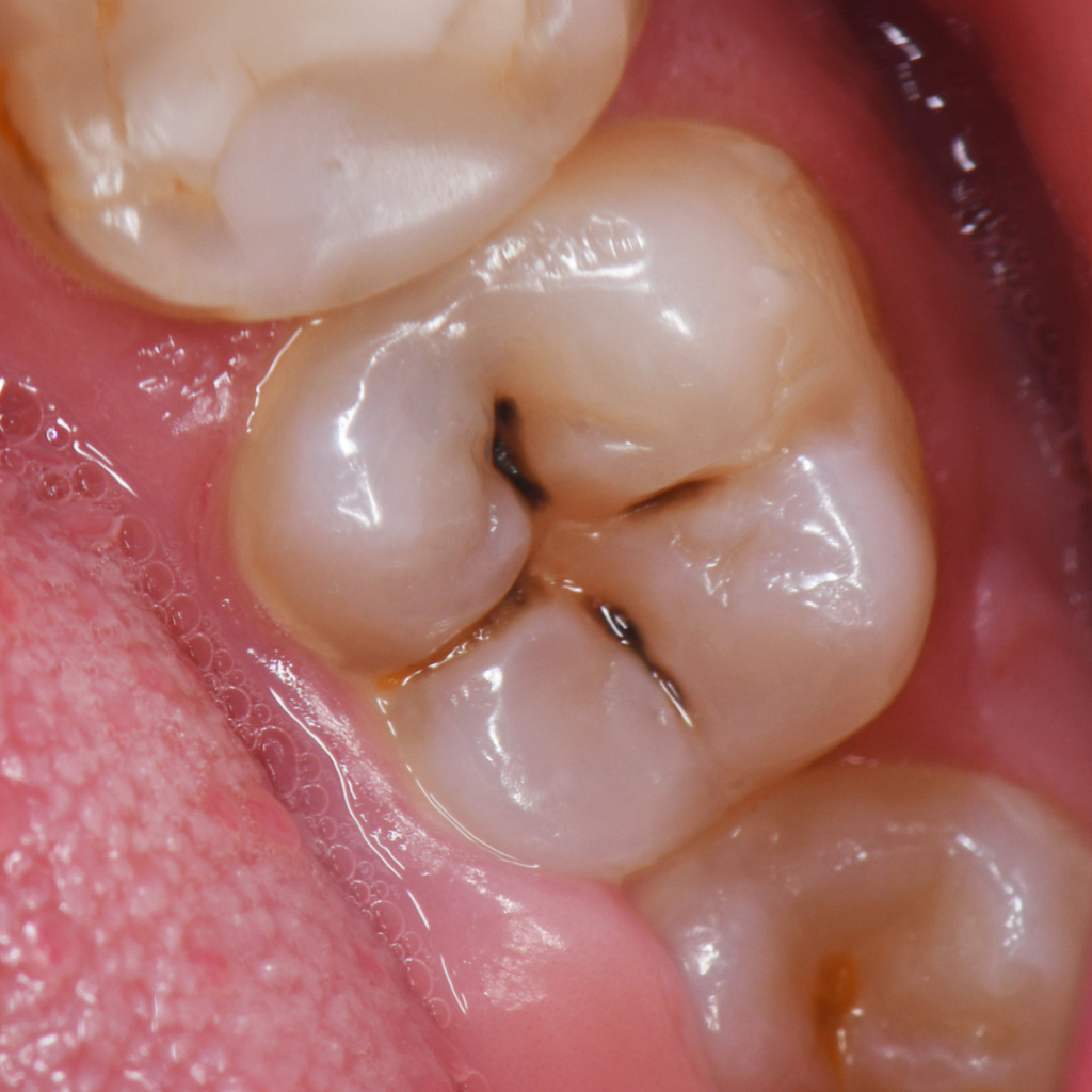
Niño con Caries

¿Por qué aparecen las caries en los niños?

Las caries en la infancia suelen estar relacionadas con:

  • Consumo frecuente de azúcares y bebidas azucaradas.
  • Hábitos de higiene dental insuficientes.
  • Estructura dental más delicada en dientes de leche.
  • Predisposición genética o bacteriana.

Detectarlas y tratarlas a tiempo es esencial para evitar dolor, infecciones y complicaciones en los dientes permanentes.

Tratamientos para la eliminación de caries en niños

En MM Sonrisas contamos con un equipo especializado en odontopediatría en Madrid, que se encarga de tratar las caries de manera segura, indolora y adaptada a la edad del niño. Nuestros tratamientos incluyen:

  • Obturaciones infantiles (empastes): restauramos los dientes dañados con materiales biocompatibles y estéticos.

  • Pulpotomías: en casos en los que la caries ha llegado a la pulpa dental.

  • Tratamientos mínimamente invasivos: utilizamos técnicas modernas que reducen la ansiedad y el miedo en los niños.

Prevención: la clave de una sonrisa sana

Nuestro objetivo no es solo tratar, sino prevenir la aparición de caries. Para ello, en nuestra clínica dental infantil en Madrid trabajamos con programas adaptados a cada niño:

  • Revisiones periódicas desde los 5-6 años.

  • Selladores dentales: una barrera protectora que evita la acumulación de bacterias en las muelas.

  • Aplicación de flúor tópico para fortalecer el esmalte dental.

  • Educación en higiene bucal: enseñamos a los niños y orientamos a los padres en técnicas de cepillado y hábitos saludables.

Tratamiento bucal niños
niño pequeño cepillandose los dientes

¿Por qué elegir MM Sonrisas?

  • Especialistas en odontopediatría y ortodoncia infantil en Madrid.

  • Un entorno adaptado a los niños, que favorece la confianza y reduce el miedo.

  • Tratamientos preventivos y correctivos que acompañan a tu hijo en todas las etapas de su desarrollo dental.

En Clínica Dental MM Sonrisas, creemos que prevenir una caries es siempre mejor que tratarla. Por eso, apostamos por un enfoque integral de la salud bucodental infantil, combinando tecnología avanzada, experiencia y cercanía con las familias.

FAQ

El tratamiento de la caries infantil depende de la profundidad del daño. En nuestra clínica dental infantil en Madrid, utilizamos empastes (obturaciones) para reparar las piezas afectadas, y en casos más avanzados, procedimientos como la pulpotomía o la pulpectomía. Siempre se busca una técnica mínimamente invasiva para que el niño se sienta cómodo y sin dolor.

La caries en los niños suele aparecer como manchas blancas, marrones o negras en los dientes de leche o en las muelas. A veces puede pasar desapercibida porque no provoca dolor en sus primeras fases, por eso son tan importantes las revisiones periódicas de odontopediatría.

Aunque los dientes de leche sean temporales, sí deben tratarse. Una caries sin atender puede provocar dolor, infecciones y afectar al desarrollo de los dientes definitivos. Lo recomendable es acudir cuanto antes a un odontopediatra para evaluar y tratar la lesión.

No tratar una caries infantil puede derivar en:

  • Dolor constante y sensibilidad dental.

  • Infecciones que afectan a las encías y al hueso.

  • Pérdida prematura de dientes de leche, lo que puede causar problemas de mordida y alineación.

  • Daño en los dientes permanentes que están por salir.

El odontopediatra evalúa la extensión de la caries y decide el mejor tratamiento:

  • Empaste en caries superficiales.

  • Tratamiento pulpar (pulpotomía) si la infección llega a la pulpa del diente.

  • En casos muy severos, se puede extraer el diente, siempre cuidando que no se vea comprometido el espacio para los permanentes.

Las caries en bebés o niños muy pequeños se conocen como caries de la primera infancia. Suelen estar relacionadas con:

  • Consumo prolongado de biberón con leche, zumos o líquidos azucarados.

  • Cepillado insuficiente o inexistente.

  • Transmisión bacteriana por compartir utensilios o probar la comida con la misma cuchara.

La mejor solución es la prevención: higiene desde la erupción del primer diente, evitar el uso del biberón nocturno y visitas tempranas al odontopediatra.

Las muelas de leche cariadas deben ser revisadas y tratadas de inmediato, ya que son fundamentales para la masticación, el habla y el correcto espacio de los dientes definitivos. En nuestra clínica de odontopediatría en Madrid, valoramos si la muela se puede conservar mediante un empaste o tratamiento pulpar, o si es necesario extraerla para prevenir mayores complicaciones.

Scroll al inicio
Oferta blanqueamiento