Manchas negras que no son caries en los dientes de los niños

Estás cepillando los dientes de tu hijo y, de repente, lo ves: unas pequeñas líneas negras en los dientes o unos puntos oscuros que parecen suciedad incrustada.

La primera reacción de cualquier padre es el pánico: «¡Son caries! ¿Hemos fallado con la higiene?»

La buena noticia es que, en muchos casos, esas manchas negras que no son caries en los dientes de los niños son una condición mucho más simple, estética, y que no compromete la salud del diente. La mala noticia es que la única forma de saberlo con certeza es visitando a un experto.

En MM Sonrisas Infantil, vemos estas manchas a diario. Entendemos tu preocupación. Por eso, hemos preparado esta guía completa para que sepas distinguir una simple mancha de una lesión grave y, sobre todo, para que sepas cómo quitar lo negro de los dientes en niños con soluciones profesionales.

Manchas negras que no son caries en los dientes de los niños

¿Qué Son las Manchas Negras en los Dientes de los Niños que No Son Caries?

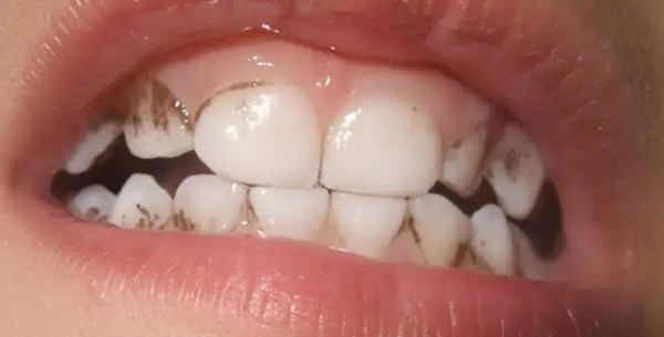
La respuesta más probable a la mayoría de las manchas negras, especialmente si están cerca de la encía y tienen forma de línea continua o puntos, es el Cromógeno Bacteriano (o Black Stain).

¿Qué son las líneas negras en los dientes de mi hijo/a?

Estas líneas o puntos oscuros son el resultado de la actividad de unas bacterias muy específicas que se encuentran en la boca (principalmente, la Actinomyces). Estas bacterias producen un pigmento oscuro al mezclarse con el azufre y el hierro de la saliva.

  • No son Caries: Lo fundamental es que estas manchas son un problema estético, no destructivo. Estas bacterias, curiosamente, no suelen producir los ácidos que causan las caries, por lo que los niños con Black Stain a menudo tienen un índice de caries muy bajo.

  • Aparición: Suelen aparecer durante la infancia, a partir de los 2 o 3 años, y tienden a desaparecer con la adolescencia o en la edad adulta.

  • Causa: Se relaciona con la composición de la saliva del niño, el pH de la boca y una predisposición individual, ¡no necesariamente con una mala higiene!

 

¿Cómo Quitar lo Negro de los Dientes en Niños?

Si tu hijo tiene Black Stain, cepillar en casa no servirá de mucho, ya que las manchas están fuertemente adheridas al esmalte.

Soluciones Profesionales en la Clínica Odontopediátrica

La única forma segura y efectiva de eliminar estas manchas es mediante una limpieza profesional:

  • Raspado y Pulido: Utilizamos instrumentos ultrasónicos o manuales muy suaves para raspar la mancha y luego pulimos el diente.

  • Limpieza con Polvo de Bicarbonato: Es una técnica muy efectiva y suave que elimina los pigmentos sin dañar el esmalte.

  • Prevención de la Recurrencia: Una vez limpias, las manchas suelen reaparecer, a veces en pocas semanas. Aunque no hay una cura definitiva (depende de la composición de su saliva), recomendamos refuerzos de flúor y seguimientos periódicos.

¿Cómo Saber si Es Caries o Mancha? 

El miedo de los padres es justificado. Hay otras cosas que causan manchas oscuras y que sí son graves. Es vital saber cómo saber si es carie o mancha.

Características de la Caries 

  • Ubicación: La caries suele aparecer en las zonas donde se acumula la placa: surcos de las muelas (fosas), entre los dientes o cerca de la encía, pero generando un agujero o pérdida de tejido.

  • Textura: La zona afectada por caries suele sentirse blanda o rugosa al pasar un instrumento dental (¡nunca lo hagas en casa!).

  • Evolución: La caries progresa y se convierte en una cavidad visible que puede causar dolor.

Características del Black Stain 

  • Ubicación: Aparecen en forma de líneas finas o puntos, a menudo en el borde de la encía, y envuelven el diente.

  • Textura: La mancha se siente dura y el diente debajo está completamente liso y fuerte.

  • Evolución: No progresa a agujero, solo se oscurece más.

Otras Causas de Pigmentación

Además del Black Stain y las caries, otras cosas pueden causar manchas que hay que revisar:

  • Suplementos de Hierro: Si el niño toma jarabes con hierro, pueden dejar una mancha oscura temporal.

  • Alimentos/Bebidas: Colorantes muy potentes (chuches, refrescos oscuros) pueden teñir levemente el esmalte si la higiene es deficiente.


Patologías que se Confunden con Caries: Descalcificación e Hipoplasia Dental

A veces, la mancha no es negra, sino blanca, marrón o de un color diferente. Esto nos lleva a otros problemas de desarrollo del esmalte que requieren la intervención del odontopediatra.

Descalcificación Dental: ¿Cuáles son los síntomas?

La descalcificación es el primer paso antes de una caries y se ve como una mancha blanca opaca que aparece cerca de la encía.

  • Síntomas: La mancha blanca (o tiza) indica que el esmalte ha perdido minerales por el ataque ácido, pero aún no se ha roto. Es un semáforo en rojo.

  • Tratamiento: Se trata con flúor de alta concentración y una mejora radical de la higiene. Es completamente reversible si se actúa a tiempo.

Hipoplasia Dental: ¿Qué es y cómo se ve?

¿Qué es la hipoplasia dental en niños? La hipoplasia es un defecto en la formación del esmalte que ocurre cuando el diente se está creando dentro de la encía (por fiebre alta, falta de vitaminas o infecciones durante el embarazo o la primera infancia).

  • Síntomas/Aspecto: ¿Cómo se ve la hipoplasia dental? Se ve como un diente con surcos, depresiones o manchas irregulares que pueden ser blancas, amarillentas o marrones, pero no son blandas como las caries. El esmalte es defectuoso desde el nacimiento.

  • Riesgo: Estos dientes tienen más riesgo de caries porque el esmalte no los protege bien.

Manchas negras en dientes de leche
Manchas negras en dientes de leche

Agenesia Dental: Un Problema de Ausencia, No de Manchas

 

Aunque no se relaciona con manchas, la agenesia dental (la ausencia de un diente permanente) es otro problema de desarrollo que solo puede diagnosticar y planificar un odontopediatra.

 

¿Cómo puedo saber si mi hijo tiene agenesia dental?

 

  • Síntomas: El diente de leche no se cae o se cae y el diente permanente nunca erupciona porque nunca se formó.

  • Diagnóstico: Solo se puede confirmar con una radiografía panorámica (ortopantomografía).

  • Solución: Es vital que el odontopediatra detecte esto a tiempo para planificar: a veces, se decide mantener el diente de leche o se prepara el espacio para una futura ortodoncia o implante.

Nuestro Diagnóstico: No Adivines, Confía en el Experto

 

Si has leído hasta aquí, es porque estás preocupado y buscas respuestas claras. La salud dental infantil es demasiado importante para dejarla en manos de una suposición o de lo que encuentres en Google.

El odontopediatra tiene la formación y las herramientas (como radiografías de baja dosis) para distinguir entre:

  1. Una mancha estética e inofensiva (Black Stain).

  2. Una lesión inicial (Descalcificación) que se puede revertir.

  3. Un problema grave (Caries o Hipoplasia) que requiere tratamiento inmediato.

No pierdas tiempo ni arriesgues la salud dental de tu hijo intentando adivinar si esa mancha es una caries.

En MM Sonrisas Infantil, estamos especializados en el diagnóstico precoz y en tratamientos diseñados para la boca en crecimiento. Queremos que la visita al dentista sea una experiencia positiva y tranquila para tu hijo.

Si ves cualquier mancha (negra, blanca o marrón) que te preocupa, contacta con nosotros hoy mismo. Tu tranquilidad y la sonrisa de tu hijo son nuestra prioridad.

Scroll al inicio